您现在的位置是:首页 > 文化传承
快来收藏:儿童颅脑常见解剖变异,看过就不会忘
岁月留金阁
2025-05-21【文化传承】104人已围观
简介一侧脑室增大(侧脑室不对称)通常情况下,两侧侧脑室结构对称,但正常脑室的大小与形态也存在个体差异,5~10%的正常人可以出现两侧侧脑室不对称,可能是胚胎发育异常所致的解剖变异。MRI表现为一侧脑室增大,透明隔可以跨越中线向对侧移位,无占位效应,在各个序列上脑室内和脑室周围均无异常信号。诊断发育性侧脑...
一侧脑室增大(侧脑室不对称)
通常情况下,两侧侧脑室结构对称,但正常脑室的大小与形态也存在个体差异,5~10%的正常人可以出现两侧侧脑室不对称,可能是胚胎发育异常所致的解剖变异。MRI表现为一侧脑室增大,透明隔可以跨越中线向对侧移位,无占位效应,在各个序列上脑室内和脑室周围均无异常信号。
诊断发育性侧脑室不对称时必须要除外脑室内各种炎性粘连(如感染性、异物及化学物质刺激性、外伤后)或潜在的占位引起的病理性增大以及梗阻性病变。
CASE1
右侧脑室较对侧大

透明隔间腔及Vergae腔
透明隔间腔(CSP)又称第五脑室,Vergae腔(CV)又称穹窿腔或第六脑室。儿童多见,随年龄增长这些腔隙多数将逐渐闭合,仅少数永存于成年人。两者均无室管膜及脉络丛组织,所以均不属于真正的脑室系统。实际中一般将两者视为同一结构的前、后腔。两者属于正常解剖变异,通常无临床意义。
MRI表现:轴位上,透明隔间腔位于两侧侧脑室额角之间,其内为脑脊液信号,可呈条带状、三角形或类似梯形,边缘清楚,两侧壁多平行,两侧壁之间的宽度约1~10mm。若透明隔侧壁向两侧弯曲甚至膨隆,失去正常的平行状态,且侧壁间的距离10mm,则称其为透明隔囊肿。Vergae腔位于透明隔间腔之后,双侧侧脑室体部之间,表现为前窄后宽的纵形腔隙结构,其内为脑脊液信号。两者一般同时存在,呈条带状,双侧的腔壁大致平行。
CASE1
透明隔间腔及Vergae腔同时存在

大枕大池
大枕大池属于先天性解剖变异,一般认为枕大池在小脑皮质或小脑蚓部距离枕骨内板超过10mm,即可确定为大枕大池。大枕大池可见于任何年龄,大小各异,但第四脑室正常,无占位效应,无脑积水,无枕骨受压变薄,颅后窝大小正常,无小脑蚓部萎缩等。需要与后颅窝蛛网膜囊肿及小脑发育不全、小脑萎缩鉴别。
CASE1
大枕大池

血管周围间隙
①定义:又称V-R间隙,可见于任何年龄的正常人。形成机制是脑动脉穿支由蛛网膜下隙进入脑实质时,邻近的软脑膜内陷在小血管周围并在两层软脑膜之间形成潜在的间隙。
②分型:
Ⅰ型:分布于豆纹动脉经前穿支进入基底节处;
Ⅱ型:分布于脑的穿髓动脉进入大脑凸面并延伸至皮质下白质处;
Ⅲ型:见于脑干。
CASE1
右侧脑室旁V-R间隙
CASE2
双侧额叶白质内V-R间隙(Ⅱ型)
脑灰质异位症
⑴定义:指在胚胎发育时期因移行的神经元中途受阻而大量积聚于室管膜下、脑白质内以及脑皮质下的一种先天性神经元移行异常。可单独存在,也可合并中枢神经系统其他畸形。
⑵病因及机制:在胚胎发育,特别是神经元移行期间,任何对身体有害的因素,包括病毒感染、代谢紊乱、放射线、药物、毒物作用等,均可导致神经元的发育和移行异常。基因遗传也是不可忽视的因素之一。受这些有害因素的干扰,如果移行的神经元未能及时且准确地到达脑的表面,而是非正常地积聚在脑组织的其他部位,即可形成脑灰质异位。
⑶分型:根据异位灰质所处的部位和形态,可以将脑灰质异位分为以下三型。
①室管膜下灰质异位:又称脑室周围灰质异位。这类最常见。MRI表现为沿一侧或两侧脑室旁分布的结节状灰质团块,单发或多发,其长轴与侧脑室壁平行,无水肿及占位效应,与正常灰质信号相似。
②皮质下局灶型灰质异位:较室管膜下型少见,MRI表现为异位的灰质团块位于正常的脑皮质下方,外观呈岛状、结节状。
③皮质下层状(或带状)灰质异位:最少见,又称双皮质综合征:MRI表现为均匀的灰质带在侧脑室和皮层灰质间对称性分布,且内外均有白质.常被称为「双白质带」。此型为脑灰质异位中最严重的类型,在临床上常伴难治性癫痫,预后较差。
脑灰质异位可与脑裂畸形等异常并存,应注意全面观察,避免遗漏。
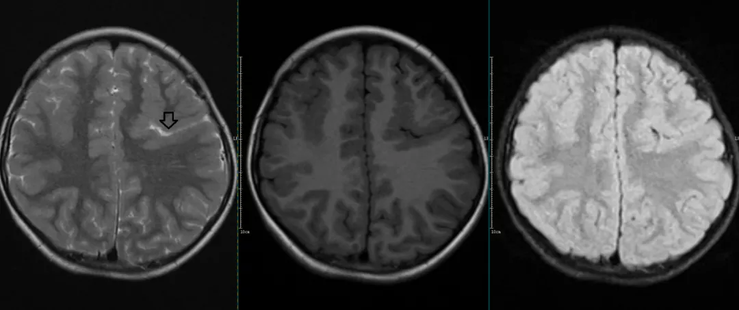
CASE1
左侧脑裂畸形伴灰质异位。
脉络膜裂囊肿
脉络膜裂囊肿属于神经上皮囊肿,可能因胎儿发育时期在沿脉络膜裂形成原始脉络膜丛的过程中发生障碍而形成,多见于颞叶内下部脉络膜裂处。体积较小者无临床意义。
MRI表现:显示脉络膜裂处典型的囊肿性病变,病灶为圆形、卵圆形,T2WI为高信号,T1WI、FLAIR及DWI均为低信号,与脑脊液信号相同;病灶周围脑实质无异常信号,边缘光滑锐利。增强扫描无强化。冠状位可清楚的显示囊肿位于脉络膜裂内,其外下方可见侧脑室颞角呈点状或条状结构,矢状位显示颞叶内侧卵圆形或梭形囊肿,其长轴沿后上至前下斜行。
CASE1
右侧脉络膜裂囊肿
梅克尔(Meckel)腔不对称
梅克尔腔呈半月形或卵圆形,左右各一,位于颞骨岩尖部前方、海绵窦后部外下方,由颅后窝突入颅中窝后内侧的硬脑膜陷窝形成。正常Meckel腔的长轴在横断面朝向前内,在冠状面朝向内上,呈两侧对称的「八」字形。Meckel腔在矢状面呈「C"字形,开口朝后,越过岩尖与桥前池相交通,交通处即三叉神经孔。Meckel腔内含有脑脊液、三叉神经节及神经纤维。
双侧Meckel腔的大小一般基本对称,可出现大小不对称或一侧Meckel腔增大。单纯的双侧Meckel腔不对称通常无临床意义。但应注意观察增大一侧的Meckel腔内是否存在异常信号、三叉神经束有无增粗。
CASE1
双侧Meckel对称
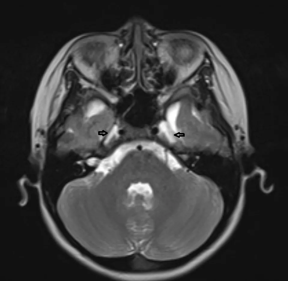
CASE2
双侧Meckel不对称
作者|邓之亚
内容策划|小雪球、彭龙
参考文献|(向下滑动)
[1]全松石,邵为景,黄美善,等.侧脑室前角宽径相差和体部宽相差及其临床意义[J].延边大医学学报,2001,24(1):44.
[2]娄明武,杨涛,宿宝贵,等.透明隔的影像表现及其临床意义[J].中华放射学杂志,2000.5(34):356.
[3]杨世涛.26例CT诊断大枕大池与临床意义[J].现代医
【版权声明】本平台属公益学习平台,转载系出于传递更多学习信息之目的,且已标明作者和出处,如不希望被传播的老师可与我们联系删除
很赞哦!(113)
上一篇:中华奇石丨广东——台山玉:解析
下一篇:莆田洪氏15进士